はい!はいはいはい!
「どうぶつの国」8巻が今日2月9日に発売されました!!

表紙はこれです!!
これは誰?!と、思ったコミックス派のあなた!
まぁ・・・考えてもタロウザ以外いませんね、このマンガ、ヒトが5人、そのうち男3人、そのうち黒髪2人、そしてまぁ、どう考えてもジュウではないです。(笑)
と、明るく紹介しましたが、 内容は始めから重いです。
あまり多くは語りませんが、このマンガが通らなければいけないお話をむかえました。
是非、皆さん読んでください。
読んで欲しいです。
あまり漫画家が「読んで。読んで。」 というのも、どうかと思いますが・・・
読んで欲しいです。
物語が大きく動いていきます。ぜひお付き合いのほどを・・・
そして、このコミックスの続きが同じく今日発売の別冊少年マガジン3月号で読めます!!

センターカラーをいただいています。

コピーや文字がカッコ良く入って、とてもカッコイイ扉になってます。
こういうデザインやコピーが入ると、嬉しいですね。
本編も8巻の続きが15P!!
ええ、15P・・・だけ・・・ええ・・・理由はまぁ・・・
この号の仕事場訪問に入っています。ここでも書きますが、
その前に!この号の漫画の紹介を1点だけ!
この別マガで始まった新連載、
「AKB0048 宇宙で一番ガチなヤツ!」
これが面白い!!
石坂ケンタ先生と言う新人さんの新連載です!!
石坂君のキャラはとても親しみがワクと言うか、とてもイキイキしてるのです。
きっとファンも増えると思います!
で・・・・ええ・・・私が今回15Pしか載っけられないと言う理由は・・・

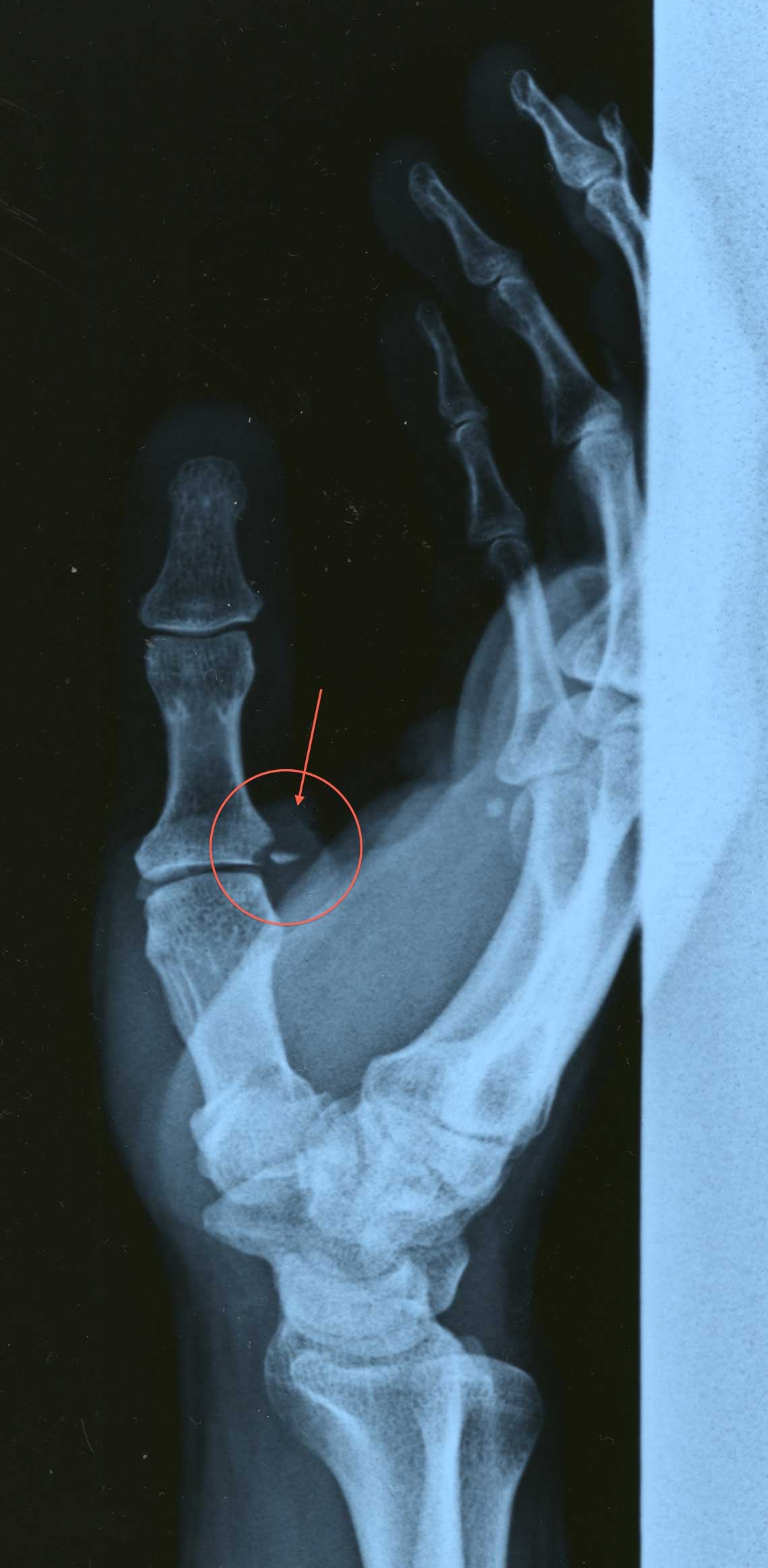
はい・・・右手の親指の根元を骨折してしまいました・・・
赤丸の所ですね・・・
階段から足を踏み外して落ちた時に、手のつき方が悪かったのですね・・・
お医者さんが言うには、手をついた時に、親指が外側に行き過ぎた為に折れたそうです。
そういう折れ方と言っておりました・・・
何と言うか・・・・私、右手骨折2回目なので、きっと読者の方も
「あいつ・・・またかよ・・・」
などという様な声が浮かぶと言うか、そう思うだろうな、とか・・・
私もお医者さんから、
「これ、折れてるよ!」
という声を聞いた時はさすがに落ち込んだと言うか、
「私、漫画家としてどうなんだろう?」
と、ズーーーーンと暗くなったと言うか・・・
でもこれはもう大丈夫で、多少の痛みがあれども、
もう作画作業は再開していますので、安心ください。
そして楽しみにしていた読者の方々、15Pしか描けなくて本当にご免なさい。
来月号、気合い入れて描いています。
なんとも、複雑な漫画のお知らせになってしまいましたが、
8巻、別マガ共に、書店さんにてお求めください。
よろしくです~~~~!!
「どうぶつの国」8巻が今日2月9日に発売されました!!

表紙はこれです!!
これは誰?!と、思ったコミックス派のあなた!
まぁ・・・考えてもタロウザ以外いませんね、このマンガ、ヒトが5人、そのうち男3人、そのうち黒髪2人、そしてまぁ、どう考えてもジュウではないです。(笑)
と、明るく紹介しましたが、 内容は始めから重いです。
あまり多くは語りませんが、このマンガが通らなければいけないお話をむかえました。
是非、皆さん読んでください。
読んで欲しいです。
あまり漫画家が「読んで。読んで。」 というのも、どうかと思いますが・・・
読んで欲しいです。
物語が大きく動いていきます。ぜひお付き合いのほどを・・・
そして、このコミックスの続きが同じく今日発売の別冊少年マガジン3月号で読めます!!

センターカラーをいただいています。

コピーや文字がカッコ良く入って、とてもカッコイイ扉になってます。
こういうデザインやコピーが入ると、嬉しいですね。
本編も8巻の続きが15P!!
ええ、15P・・・だけ・・・ええ・・・理由はまぁ・・・
この号の仕事場訪問に入っています。ここでも書きますが、
その前に!この号の漫画の紹介を1点だけ!
この別マガで始まった新連載、
「AKB0048 宇宙で一番ガチなヤツ!」
これが面白い!!
石坂ケンタ先生と言う新人さんの新連載です!!
石坂君のキャラはとても親しみがワクと言うか、とてもイキイキしてるのです。
きっとファンも増えると思います!
で・・・・ええ・・・私が今回15Pしか載っけられないと言う理由は・・・

はい・・・右手の親指の根元を骨折してしまいました・・・
赤丸の所ですね・・・
階段から足を踏み外して落ちた時に、手のつき方が悪かったのですね・・・
お医者さんが言うには、手をついた時に、親指が外側に行き過ぎた為に折れたそうです。
そういう折れ方と言っておりました・・・
何と言うか・・・・私、右手骨折2回目なので、きっと読者の方も
「あいつ・・・またかよ・・・」
などという様な声が浮かぶと言うか、そう思うだろうな、とか・・・
私もお医者さんから、
「これ、折れてるよ!」
という声を聞いた時はさすがに落ち込んだと言うか、
「私、漫画家としてどうなんだろう?」
と、ズーーーーンと暗くなったと言うか・・・
でもこれはもう大丈夫で、多少の痛みがあれども、
もう作画作業は再開していますので、安心ください。
そして楽しみにしていた読者の方々、15Pしか描けなくて本当にご免なさい。
来月号、気合い入れて描いています。
なんとも、複雑な漫画のお知らせになってしまいましたが、
8巻、別マガ共に、書店さんにてお求めください。
よろしくです~~~~!!
